Starting Price
$22,500
Your personal information is safe and secure. We do not share information.









Strong Acrylic



Some advanced bone loss cases require non-standard dental implants, such as Zygomatic Implants and Pterygoid Implants. Fees will be reviewed on a case by case basis following the free in-office consultation.
Treatment includes:
Free Consultation
Complete Oral Evaluation
Cone-Beam CT Scan X-ray
IV Sedation with anesthesia provider
All-Extractions (if needed)
All Bone Grafting Procedures and PRF
Healing teeth to wear home day of surgery*
Take Home Care Bag

BENJAMIN JOHNSON, DDS, FACS
Board Certified Oral and Maxillofacial Surgeon
Fellow, American College of Surgeons

KIMBERLY THOMAS, DMD
General Dentist and Artist
Dr. Johnson built a privately owned practice, focused on excellent patient communication and education. Our center utilizes the latest advances in the field of
Full Mouth Rehabilitation Surgery.
We are one of the few offices in East TN that has all of the technology to allow us to do this fully digital, reducing surgical time, and recovery time. We are going to customize your new smile through our digital workflows and state of the art design process. We look forward to meeting you and showing you our incredible technology.

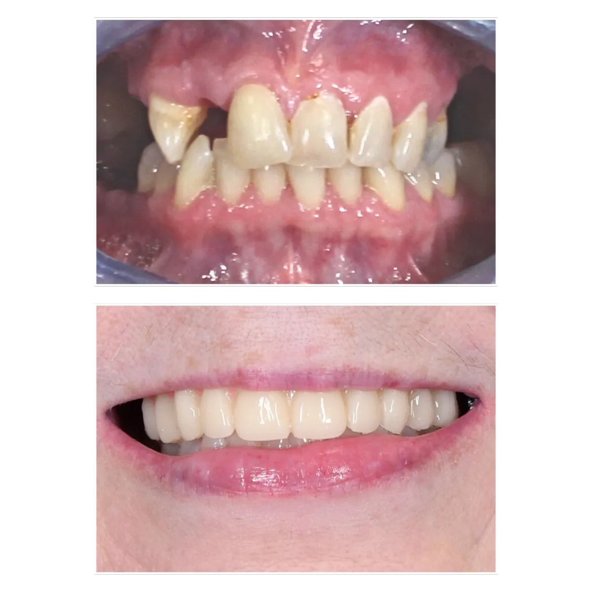
A life-changing procedure that allows our patients to have their teeth replaced using dental implants to give them a permanent new smile. It goes by various names such as, All-on-4 ®, Teeth in a Day, Teeth Xpress ®, DIEM ®, Hybrid Dentures, Permanent 24-Hour Smile, and more. All of these names are the same, they are ways of describing a new set of teeth that are attached to dental implants that are placed under the gums.
If you are missing several teeth, suffer from dry mouth, have extensive tooth decay, gum disease, experience dental fear or think regular dentures are your only option, Full Arch - Dental Implants and Teeth could be the dental treatment that gives you the smile and quality of life you have been looking for. The only way to know is to come in and get an evaluation.
We will meet with you to discuss your current dental situation and answer all questions. At this first step we will determine what concerns you have and get an overview of your current oral and overall health.
We also must assess:
Your current smile and bite including any dentures/fake teeth you wear
Your current and past medical history + medications
Your jaw bones and teeth by obtaining a CT scan and any
necessary X-rays.
Facial Photos and Esthetic/Smile Concerns Currently
All this information will be reviewed and we will determine what treatment is right for you. We will go over the entire process with you start to finish. We will also show you real options for the final material of your new smile. Our focus is creating a treatment plan that fits best with your oral health goals and budget.
Some patient's have been told they do not qualify for this treatment at other offices. Since Dr. Johnson is an Oral and Maxillofacial Surgeon, he has training and extensive experience even with the most complex cases, so you have come to the right place.
There are general dentists offering similar options without the additional 4 years of Surgical Residency Training (after 4 years of dental school training) that Dr. Johnson has completed. We also offer all levels of Sedation, to include General Anesthesia, which general dentist's cannot offer you in their office. You will not find a more comprehensive, caring, and compassionate office to help you get your smile restored at one location!
After determining what solution is right for you we schedule this comprehensive workup and hold a future surgery date for you. We will collect all the additional necessary details to generate your new smile. This will include a 3D facial scan of your teeth, smile and full face, which will allows our team to generate your new smile personalized just for you. Digital impressions will be obtained by scanning your teeth, which means no messy impressions and gagging.
If you currently have no teeth or you are wearing an old denture or partial, we may need to create a new temporary denture to capture the correct position and esthetics of your smile. This appointment allows Dr. Thomas and our designers to make any final changes before surgery day ensuring you love your new smile!
We have a comprehensive team taking care of you, unlike other offices, similar to an outpatient hospital setting in our ambulatory surgical facility.
Here, Dr. Johnson, Dr. Thomas, CRNA (anesthesia provider), Registered Nurses and Registered Dental Assistants work together to ensure you have a smooth safe surgery. IV deep sedation will be provided by our CRNA provider to ensure you are comfortable, fully asleep, and out during the procedure. We are one of the very few locations in East TN that can provide all levels of sedation and general anesthesia.
Dr. Johnson will remove any remaining natural teeth (if needed), place 4 to 6 dental implants in strategic locations within the jawbone. We also will obtain all records for the lab while you are asleep and comfortable. Dr. Thomas will be working directly with the lab during surgery to get your new smile designed and created right then to deliver before you leave the office on surgery day. You will heal in a very strong material during the recovery process know as PMMA.
In the healing phase, we will continue to customize your new smile to your exact liking. Including tooth color, gum color, how your teeth show when you smile, the alignment, and more. Once we have it perfect, you will receive your final set of teeth. We offer the strongest most ideal replacement options, to include a custom milled titanium bar with highly esthetic zirconia.

Minimal Pain and Swelling
Minimally Invasive Procedure
Dentures DO NOT Fit Well
Wearing dentures? No More Glue!
Teeth are Secure like Your Natural Teeth
Fewer Dental Visits
Fast Results
Enjoy Eating Your Favorite Foods
Treatment involves placing 4-6 implants into the upper and/or lower jaw to support a full jaw set of teeth, which is then attached to the implants by screws. These teeth do not come out unless advised and/or completed by your doctor.
This treatment involves placing 2-4 implants into the upper and/or lower jaw to support a denture that rests directly on your gums. The removable denture is secured to the implants using retentive attachments and can be snapped in and out by you. Johnson Oral Surgery Knoxville offers this option for the lower jaw only, as studies have shown a Snap-On Denture for the upper jaw results in early implant and denture acrylic failure.
Traditional Removable Dentures
This treatment does not involve implants and is simply an acrylic plate with teeth that sits directly on your gums. This removable appliance is held in by suction alone and the majority of patients have to use denture adhesives to keep teeth in place.
Only missing a few teeth? Single dental implants can be placed to replace 1-3 teeth. The alternative option to replacing a single tooth would be a dental bridge. With a dental bridge, the adjacent teeth have to be drilled down just like a crown. Most of the time this is not ideal as those teeth are completely healthy. A dental bridge can also be very difficult to keep clean. With dental implants you are able to floss and clean them just like your natural teeth.






We love what we do for our patients. We're excited to meet you and help you smile again.






If you landed on our site through an ad promising grants, free implants, or extremely low-cost implants, we want to be upfront with you—those offers aren’t real and are not being run by us. They’re part of a tactic called click arbitrage , and we understand how frustrating that can be. Despite the confusion, we’d still genuinely love to help. Give us a call or fill out our short survey—we’d be happy to have you in for a complimentary consultation.
Dental Implants & Teeth (Full Arch)
Snap-on Dentures / Overdentures
Traditional Removable Dentures
Single Dental Implants (1-3 teeth)
Schedule a Consult Today!
This page is not associated with Google, Facebook or any of their partners.